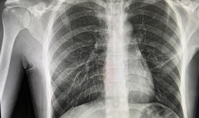
Bayburt'ta nefes darlığı şikayetiyle acil servise başvuran ve daha önce de spontan pnömotoraks (akciğer sönmesi) öyküsü bulunan bir hasta, Göğüs Cerrahisi Uzmanı Op. Dr. Halil Kolcu tarafından yapılan başarılı müdahaleyle sağlığına kavuştu.
Yeniden akciğer sönmesi tanısı konulan hastaya, Op. Dr. Halil Kolcu tarafından 3 santimetrelik tek kesiyle kapalı olarak cerrahi tedavi uygulandı. Bilinci açık ve uyanık bir şekilde işlem uygulanan hasta, başarılı geçen operasyonun ardından aynı gün içerisinde taburcu edildi. Yapılan cerrahi müdahale ile hastanın sağlığına kavuştuğu öğrenildi.
Sağlık
Yayınlanma: 24 Haziran 2025 - 09:42
Güncelleme: 24 Haziran 2025 - 10:30
Bayburt'ta nefes darlığı şikayetiyle hastaneye giden hasta cerrahi müdahaleyle sağlığına kavuştu
Sağlık
24 Haziran 2025 - 09:42
Güncelleme: 24 Haziran 2025 - 10:30
Bayburt'ta nefes darlığı şikayetiyle acil servise başvuran ve daha önce de spontan pnömotoraks (akciğer sönmesi) öyküsü bulunan bir hasta, Göğüs Cerrahisi Uzmanı Op. Dr. Halil Kolcu tarafından yapılan başarılı müdahaleyle sağlığına kavuştu.
EDİTÖR

Haberler İHA Haber Ajansı tarafından sağlanmaktadır.
İlginizi Çekebilir









