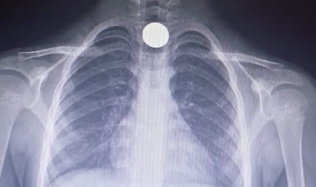
Bursa'nın İnegöl ilçesinde 5 yaşındaki çocuğun yuttuğu 50 kuruşluk madeni para yemek borusuna takıldı. Çocuk, kaldırıldığı hastanede tedavi altına alındı.
Olay, Mesudiye Mahallesi Sarmaşık Sokak'taki bir apartmanda meydana geldi. Evinde oynayan 5 yaşındaki Yusuf Z., halının üzerinde bulduğu 50 kuruşluk madeni parayı ağzına götürdü. Parayı yutan Yusuf, bir anda fenalaştı. Durumu fark eden aile, çocuğu otomobille İnegöl Devlet Hastanesi'ne götürdü. Hastanede doktorlar tarafından yapılan tetkiklerde paranın yemek borusuna takıldığı tespit edildi. Çocuk, boğazındaki paranın çıkarılması için Bursa Yüksek İhtisas Eğitim ve Araştırma Hastanesi'ne sevk edildi.
Asayiş
Yayınlanma: 31 Mart 2025 - 18:45
Güncelleme: 31 Mart 2025 - 22:30
Bursa'da çocuğun yuttuğu madeni para yemek borusuna takıldı
Asayiş
31 Mart 2025 - 18:45
Güncelleme: 31 Mart 2025 - 22:30
Bursa'nın İnegöl ilçesinde 5 yaşındaki çocuğun yuttuğu 50 kuruşluk madeni para yemek borusuna takıldı. Çocuk, kaldırıldığı hastanede tedavi altına alındı.
EDİTÖR

Haberler İHA Haber Ajansı tarafından sağlanmaktadır.
İlginizi Çekebilir








