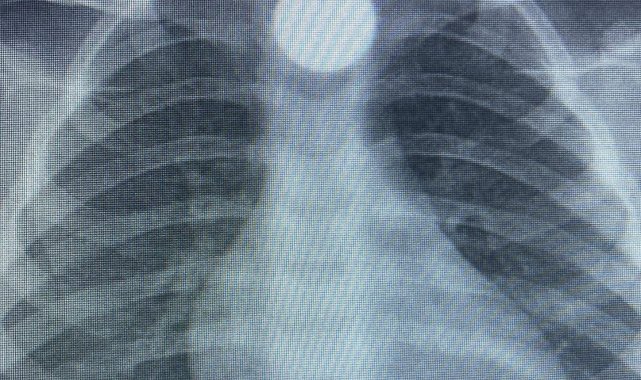
Bursa'nın İnegöl ilçesinde madeni para yutan çocuk hastanede tedavi altına alındı.
Olay, İnegöl'ün kırsal Yeniceköy Mahallesi'ndeki bir evde meydana geldi. 3 yaşındaki Bilal K., evde yerde bulduğu 50 kuruş madeni parayı ağzına atıp yuttu. Olayı fark eden ailesi tarafından çocuk özel araçla İnegöl Devlet Hastanesi'ne kaldırıldı. Yapılan tetkiklerde yemek borusunda takılı kalan madeni para görüldü. Çocuk ilk tedavinin ardından ambulansla Bursa Yüksek İhtisas Eğitim Ve Araştırma Hastanesi'ne sevk edildi.
Jandarma komutanlığı ekipleri olayla ilgili soruşturma başlattı.
Sağlık
Yayınlanma: 03 Şubat 2026 - 14:06
Güncelleme: 03 Şubat 2026 - 15:31
Bursa'da küçük çocuğun boğazına 50 kuruş kaçtı
Sağlık
03 Şubat 2026 - 14:06
Güncelleme: 03 Şubat 2026 - 15:31
Bursa'nın İnegöl ilçesinde madeni para yutan çocuk hastanede tedavi altına alındı.
EDİTÖR

Haberler İHA Haber Ajansı tarafından sağlanmaktadır.
İlginizi Çekebilir








