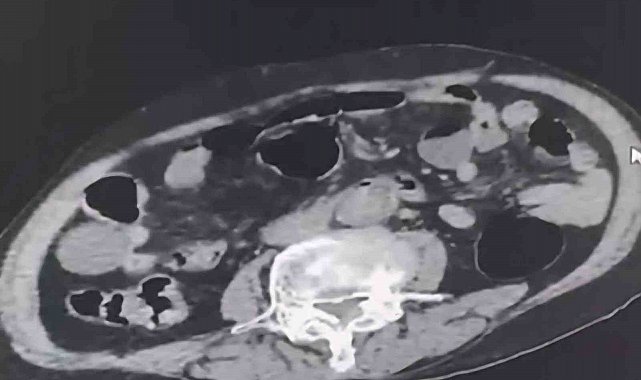
Denizli İl Emniyet Müdürlüğü Narkotik Suçlarla Mücadele Şube Müdürlüğü ekipleri tarafından düzenlenen operasyonda ikisi yabancı uyruklu olmak üzere 3 kişi yakalandı. Kişiler üzerinde yapılan incelemelerde bir kişinin uyuşturucu maddeyi cinsel organı içerisinde taşıdığı belirlendi.
Denizli İl Emniyet Müdürlüğü Narkotik Suçlarla Mücadele Şube Müdürlüğü tarafından uyuşturucu madde ticaretinin önlenmesine yönelik yapılan çalışmalar kapsamında şehir dışından Denizli'ye uyuşturucu sokmak isteyen 2 yabancı uyruklu şahıs takibe takıldı. Takip sonrasında Denizli'de malları teslim edeceği kişi ile buluştukları esnada düzenlene operasyonla 3 şahıs gözaltına alındı. Gözaltına alınan şüpheliler üzerinde yapılan incelemelerde yabancı uyruklu bir şüphelinin uyuşturucu maddeyi cinsel organında taşıdığı belirlendi. Şüphelilerin üzerlerinde ve adreslerinden yapılan aramalarda 6 parça halinde 145 gram metamfetamin maddesi, 260 gram sıvı halde sentetik ecza maddesi ele geçirildi.
Uyuşturucu veya uyarıcı madde ticareti yapmak suçundan adli makamlara sevk edilen şüphelilerden 2'si tutuklanırken 1 kişi adli kontrol şartıyla serbest bırakıldı.
Asayiş
Yayınlanma: 12 Ağustos 2025 - 17:29
Güncelleme: 12 Ağustos 2025 - 20:10
Cinsel organında Denizli'ye uyuşturucu sokmak isteyen yabancı uyruklu şahıs tutuklandı
Asayiş
12 Ağustos 2025 - 17:29
Güncelleme: 12 Ağustos 2025 - 20:10
Denizli İl Emniyet Müdürlüğü Narkotik Suçlarla Mücadele Şube Müdürlüğü ekipleri tarafından düzenlenen operasyonda ikisi yabancı uyruklu olmak üzere 3 kişi yakalandı. Kişiler üzerinde yapılan incelemelerde bir kişinin uyuşturucu maddeyi cinsel organı içerisinde taşıdığı belirlendi.
EDİTÖR

Haberler İHA Haber Ajansı tarafından sağlanmaktadır.
İlginizi Çekebilir







