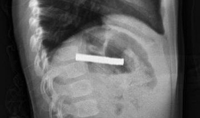
Elazığ'da 3 yaşındaki bir çocuğun yuttuğu 19 mıknatıs, Fırat Üniversitesi Hastanesinde başarılı bir operasyon ile çıkartıldı.
Edinilen bilgiye göre, Erzurum'da bir çocuk evde bulunan 19 tane mıknatısı yuttu. Çocuğun rahatsızlanması sonucu durumu öğrenen aile hastaneye başvurdu. Daha sonra çocuk Elazığ'a sevk edildi. Fırat Üniversitesi Çocuk Gastroenteroloji Hepatoloji ve Beslenme Bilim Dalı Başkanı Prof. Dr. Yaşar Doğan, çocuk hastanın yemek borusuna yapışmış 19 mıknatısı endoskopik yöntemle çıkardı.
Mıknatıslar uzun süre yemek borusunda takılı kaldığı için yemek borusu ve mide girişinde zedelenmeler olurken, çocuğun sağlık durumunun iyi olduğu ve taburcu edildiği öğrenildi.
Sağlık
Yayınlanma: 05 Ekim 2025 - 15:00
Güncelleme: 05 Ekim 2025 - 17:00
Çocuğun boğazından 19 adet mıknatıs çıkartıldı
Sağlık
05 Ekim 2025 - 15:00
Güncelleme: 05 Ekim 2025 - 17:00
Elazığ'da 3 yaşındaki bir çocuğun yuttuğu 19 mıknatıs, Fırat Üniversitesi Hastanesinde başarılı bir operasyon ile çıkartıldı.
EDİTÖR

Haberler İHA Haber Ajansı tarafından sağlanmaktadır.
İlginizi Çekebilir









