Eskişehir'de ara sokaktan çıkan otomobile çarparak ağır yaralanan 20 yaşındaki motosiklet sürücüsünün babası, oğlunun sağlık durumunun iyiye gittiğini söylerken, motosiklet kullanıcılarına da ekipman tavsiyesinde bulundu.
25 Eylül günü Gündoğdu Mahallesi Cumhuriyet Bulvarı'nda yaşanan kazada, Şenel Sokak'tan bulvara çıkan Birol T. idaresindeki 34 HBF 007 otomobile, 20 yaşındaki Yusuf Gündoğmuş idaresindeki 26 AIZ 906 plakalı motosiklet yandan çarpmıştı. Kazada iki sürücü de yaralanırken, 20 yaşındaki motosiklet sürücüsünün sağlık durumu ağır olduğu öğrenilmişti. Kazadan sonra Eskişehir Şehir Hastanesi'nde uzun bir süre yoğun bakımda yatan ve birden fazla ameliyat geçiren Gündoğmuş, adeta ölümden döndü. Yoğun bakım tedavisi sırasında genç motosiklet sürücüsünün ailesinin sürekli dua ettiği öğrenildi.
Oğlu ölümden dönen baba doktorlara teşekkür etti
Geçirdiği operasyonlar sayesinde kritik dönemi yavaş yavaş atlatan ve bilinci açılan Yusuf Gündoğmuş'un tedavisine sevk edildiği Eskişehir Osmangazi Üniversitesi Tıp Fakültesi Hastanesi'nde devam ediliyor. Genç motosiklet sürücüsünün 45 yaşındaki babası Hidayet Gündoğmuş, oğlunun iyileşmesi sebebiyle önce Allah'a sonra emeği geçen doktorlara minnettar olduğunu dile getirdi. Hem Eskişehir Şehir Hastanesi'nde hem de Eskişehir Osmangazi Üniversitesi Tıp Fakültesi Hastanesi'nde doktorların oğluna iyi baktığını söyleyen baba Gündoğmuş, oldukça mutlu olduğunu dile getirdi. Oğlu gibi kendisinin de motosiklete tutkun olduğunu söyleyen Hidayet Gündoğmuş, kaza görüntülerini izlediğinde ekipmanın ne kadar önemli olduğunu bir kez daha anladığına dikkat çekti. Biri kız olmak üzere üç çocuk babası Gündoğmuş, kendi gibi motosiklet tutkunu olan çocuklarına ekipman kullanmayı ısrarla söylediğini ve Yusuf Gündoğmuş'un da ekipmanları sayesinde hayatta kaldığını ifade etti
"Rabbim kimseye yaşatmasın"
Konuyla alakalı konuşan Hidayet Gündoğmuş, "Şükürler olsun, her gün daha iyiye gidiyoruz, daha iyiyiz. Şehir hastanesiyle ameliyatlarımız bitti. Oradaki doktorlarımıza çok teşekkür ederim, çok ilgilendiler. Tıp fakültesindeki plastik cerrahide estetik ameliyatlarımız var. Allah'a şükür her gün daha iyiye gidiyoruz. Çocuğumuz ayağa kalktı, sağlığı yerinde. Kaza anını gördüğümde anlatamam; kendim Diyarbakır'daydım, uzun yoldaydım. Rabbim kimseye yaşatmasın. Kötü bir duygu; çok şey demek isterim. Ben kendim de motor kullanıyorum. Bizde aile boyu hepimizde motor var. Kendim 18 yaşından beri kullanırım. Şükürler olsun bugüne kadar bir kazam olmadı. Çocuklarıma istedikleri motoru aldım. Amcalarında da var, amcasının çocuklarında da var. Bizim Eskişehir'imizin halkı motora karşı biraz daha duyarsız. Motor kullanan arkadaşlarımız, kardeşlerimiz de cahil. Arabaların sağından soldan trafikte çok geçerim, "geçivereyim" gibisinden hareketler var. Biz halk olarak yaya iken trafikteki taşıtlara kızarız, arabadayken yayalara kızarız. Halk olarak çok bencil bir toplumuz. Eğitim desem eğitim değil, kültür desem kültür değil. Herkes kendi çıkarları veya bencil davranışları yüzünden trafikte birçok kaza görüyoruz. Her gün kazalar oluyor. Motora binen özellikle gençlerimizi ve kuryelerimizi acele etmemeleri konusunda uyarıyorum" diye konuştu.
"Bedeli biraz ağır oldu ama şükürler olsun Rabbime"
Trafikte sıklıkla seyreden kuryeler başta olmak üzere motosiklet kullanıcılarını uyaran Gündoğmuş, şöyle devam etti;
"Özellikle kuryeler, insanların siparişlerini iki dakika önce götüreceğim diye kendi hayatlarını, kendi canlarını riske atmasınlar; sevdiklerini üzmesinler. Biz böyle ağır bir kaza yaşadık; keşke yaşamasaydık. Bedeli biraz ağır oldu ama şükürler olsun Rabbime. Daha iyiyiz. Her gün daha iyiye gidiyoruz. Herkes dikkatli olsun. Yani motora binenler de araçlara karşı dikkat etsinler. Araç kullanan vatandaşlarımızın da motorları görmelerini istiyorum."
"Evladımız gayet iyi, sağlıklı, yerinde"
Oğlunun tedavi sürecini anlatan Hidayet Gündoğmuş, şunları kaydetti:
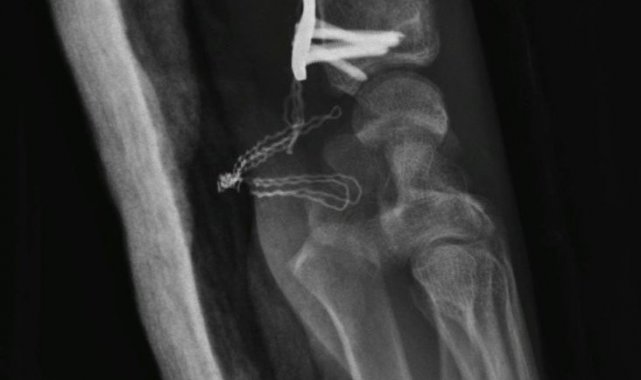
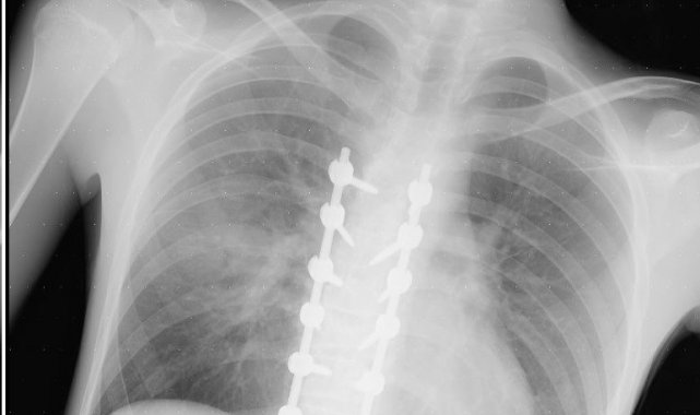
"Beş gün entübe edildi. Ne olacağı belli değildi çıkmama ihtimali vardı. Şükürler olsun doktorlarımız ve Rabbim sayesinde entübeden çıktık. Hatta ciğerin birisinde infilak vardı; ciğer sorunumuzdan dolayı özellikle yoğun bakımda entübediydik. Beş günün sonunda ciğerleri toparlamaya başladı; entübeden çıkarttılar. Solunumu normale döndü. Sırayla sağlığı yerine gelmeye başladı. Bir hafta sonra kolundan ameliyat oldu platin koydular. Omurilikten ameliyat olduk. Omuriliğinde ilk röntgende tek kırık gördüler; üç kemiği birbirine bağlayacaklardı. Sonradan ikinci röntgende üç kırık olduğunu gördük; yedi kemiği birbirine bağladılar. Omuriliğe platin takıldı. 14 tane civatamız var. Şükürler olsun doktorlarımıza, Allah razı olsun. Evladımız gayet iyi, sağlıklı, yerinde. Artık işte suratta, çenede, burunda, elmacık kemiklerinde parçalı kırıklarımız var. Osman Gazi Fakültesi'nde Allah'ın izniyle buradaki hocalarımıza, önce Rabbim'e sonra hocalarımıza emanet çocuğumuz. İnşallah daha iyi olacağız; ben kendi adıma söylüyorum. Çocuğuma, her motora bindiklerinde sürekli kask ve montlarını giymelerini tembihliyordum. Giymediklerinde fırça atıyordum. Eskişehir'de birçok yerde tanınırız, tanırlar. Sevenimiz, eşimiz, dostumuz çok; uyarırlar, telefon gelir, haber verirler. Her duyduğumda, gördüğümde söylerim. Sağ olsun, çocuğum da o gün beni dinlemiş, kaskını takmış. Şükürler olsun ki takmış; takmasaydı o gün, o kazada belki çocuğumuzu kaybederdik."
Asayiş
Yayınlanma: 17 Ekim 2025 - 10:10
Güncelleme: 17 Ekim 2025 - 10:40
Feci kazada ağır yaralanan motosiklet sürücüsünün babası konuştu
Asayiş
17 Ekim 2025 - 10:10
Güncelleme: 17 Ekim 2025 - 10:40
Eskişehir'de ara sokaktan çıkan otomobile çarparak ağır yaralanan 20 yaşındaki motosiklet sürücüsünün babası, oğlunun sağlık durumunun iyiye gittiğini söylerken, motosiklet kullanıcılarına da ekipman tavsiyesinde bulundu.
EDİTÖR

Haberler İHA Haber Ajansı tarafından sağlanmaktadır.
İlginizi Çekebilir








