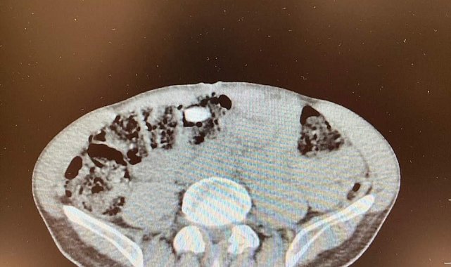
Denizli'ye gelen yabancı yolcunun eşyalarında yapılan arama ve iç beden muayenesinde 1 kilo 257 gram uyuşturucu ve 15 adet ecza hap ele geçirildi. Gözaltına alınan yabancı uyruklu şüpheli, tutuklanarak cezaevine gönderildi.
Denizli İl Emniyet Müdürlüğü Narkotik Suçlarla Mücadele Şube Müdürlüğünce uluslararası uyuşturucu madde ticaretinin önlenmesine yönelik çalışmalar devam ediyor. Yapılan incemeler ve değerlendirmeler sonucunda Denizli'ye havayoluyla yolculuk eden yabancı uyruklu şahsın uyuşturucu madde getireceği tespit edildi. Şüpheli, Narkotik Suçlarla Mücadele Şube Müdürlüğü ve Çardak Havalimanı Gümrük Muhafaza Bölge Amirliği görevlilerince müşterek yapılan çalışmalar neticesinde yakalandı. Şüphelinin eşyalarında yapılan aramalarda 6 parça halinde giysilere emdirilmiş şekilde 1 kilo 257 gram metamfetamin maddesi ele geçirildi. Yapılan iç beden muayenesinde ise 3 parça halinde 15 adet ecza hap ele geçirildi. "Uyuşturucu veya uyarıcı madde ticareti yapmak" suçundan adli makamlara sevk edilen şüpheli, tutuklanarak cezaevine gönderildi.
Asayiş
Yayınlanma: 05 Haziran 2025 - 13:40
Güncelleme: 05 Haziran 2025 - 14:40
Havayoluyla Denizli'ye gelen yabancı yolcu 1,25 kilo uyuşturucu ile yakalandı
Asayiş
05 Haziran 2025 - 13:40
Güncelleme: 05 Haziran 2025 - 14:40
Denizli'ye gelen yabancı yolcunun eşyalarında yapılan arama ve iç beden muayenesinde 1 kilo 257 gram uyuşturucu ve 15 adet ecza hap ele geçirildi. Gözaltına alınan yabancı uyruklu şüpheli, tutuklanarak cezaevine gönderildi.
EDİTÖR

Haberler İHA Haber Ajansı tarafından sağlanmaktadır.
İlginizi Çekebilir








