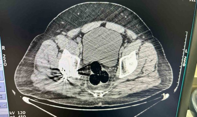
Iğdır'da, İran'dan Türkiye'ye yasa dışı yollardan giriş yapan şahsın radyolojik muayenesinde makatında uyuşturucu madde tespit edildi. Şüpheli ile bağlantılı olduğu belirlenen 2 kişi, çıkarıldıkları mahkemece tutuklandı.
Edinilen bilgiye göre, İl Emniyet Müdürlüğü Narkotik Suçlarla Mücadele Şube Müdürlüğü ekipleri, İran'dan Türkiye'ye yasa dışı yollardan giriş yapan bir kişiyi şüphe üzerine takibe alındı. Gözaltına alınan şahıs hastaneye götürüldü. Hastanede yapılan görüntülemede şüphelinin makat bölgesinde üç parça halinde yabancı cisim tespit edildi. Cerrahi müdahale ile çıkarılan paketlerde toplam 130 gram metamfetamin ele geçirildi, şüpheli gözaltına alındı. Soruşturmayı derinleştiren polis ekipleri, uyuşturucunun kentte dağıtımını yaptığı değerlendirilen iki şüpheliyi daha yakaladı. Bu kişilerin üzerinde ve adreslerinde yapılan aramalarda 47 gram daha metamfetamin ele geçirildi.
Emniyetteki işlemleri tamamlanan üç şüpheli, çıkarıldıkları mahkemece tutuklanarak cezaevine gönderildi.
Asayiş
Yayınlanma: 10 Ekim 2025 - 17:54
Güncelleme: 10 Ekim 2025 - 20:30
Iğdır'da "uyuşturucu" operasyonu: Makatından 130 gram uyuşturucu çıktı
Asayiş
10 Ekim 2025 - 17:54
Güncelleme: 10 Ekim 2025 - 20:30
Iğdır'da, İran'dan Türkiye'ye yasa dışı yollardan giriş yapan şahsın radyolojik muayenesinde makatında uyuşturucu madde tespit edildi. Şüpheli ile bağlantılı olduğu belirlenen 2 kişi, çıkarıldıkları mahkemece tutuklandı.
EDİTÖR

Haberler İHA Haber Ajansı tarafından sağlanmaktadır.
İlginizi Çekebilir






