Manisa Şehir Hastanesi'nde, beyin damarlarındaki tıkanıklıklara karşı ameliyatsız stent yöntemi başarıyla uygulanıyor. Uzmanlar, şah damarındaki daralmaların inme riskini büyük ölçüde artırdığını vurgularken, bu modern yöntem sayesinde hastaların ertesi gün taburcu olabildiğine dikkat çekti.
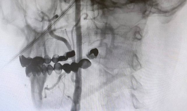
Manisa Şehir Hastanesi'nde girişimsel nöroloji ve girişimsel kardiyoloji uzmanlarının iş birliğiyle, beyni besleyen en büyük damarlar olan karotis (şah) damarlarındaki tıkanıklıklara karşı modern tedavi yöntemleri başarıyla uygulanıyor. Uzmanlar, bu damarlarda gelişen ciddi darlıkların inme (felç) riskini önemli ölçüde artırdığını belirtiyor. Bu nedenle, felç riskini azaltmak amacıyla hastalara stentleme işlemi uygulanıyor.
Girişimsel Nöroloji Uzmanı Doç. Dr. Ezgi Sezer Eryıldız, "Beynimizi besleyen en büyük damarlar karotis damarları yani şah damarlarıdır. Eğer bu damarlarda ciddi bir darlık olursa inme yani felç geçirme riski belirgin şekilde artmaktadır ve bu riski azaltmak için stentleme işlemi uygulanmaktadır. Rutin olarak hastalarımız bu açıdan değerlendiriliyor ve bu işlemi uyguluyoruz" dedi.
Şah damarındaki daralmaları açmanın iki yöntemi olduğunu ifade eden Girişimsel Kardiyoloji Uzmanı Doç. Dr. Ramazan Gündüz ise şunları söyledi:
"Boyun damarlarını açma işlemi iki şekilde yapılabilir. Bir karotis endarterektomi dediğimiz ameliyatla bir diğer yöntem ise perkutan girişim dediğimiz stent yöntemiyle açılabilir. Biz kliniğimizde nöroloji ve kardiyoloji olarak bir konsey yapıyoruz. Damarı ciddi tıkalı olan ve buna bağlı felç geçirmiş hastalarda bu konseyde hastaya işlem yapıp yapmama kararı veriyoruz. Verdiğimiz karar çerçevesinde eğer hastaya işlem kararı vermişsek femoral arter dediğimiz kasık arterinden bir şitle 6 ya da 7 F çapında bir şitle ince bir boruyla bu damara giriş yapıyoruz ve boyun damarlarına ulaşıyoruz. Özellikle teller, filtreler ve stentlerle bu damarları açıp hastanın tedavisini gerçekleştiriyoruz. İşlem ameliyatsız olduğu için hastamız ertesi gün rahat bir şekilde problem olmazsa işlemde taburcu olabiliyor bu işlemden sonra. Bu işlemin yapılması için özellikle anjiografinin olduğu girişimsel nöroloji uzmanının ve girişimsel kardiyoloji uzmanının olduğu ve bu konuda yeterli vaka tecrübesine ve deneyime sahip uzmanların olduğu merkezler gerekir. Bunu yapabilmek için belli bir vaka sayısına ulaşmak ve bu konuda tecrübeli olmak gerekiyor. Biz de Manisa Şehir Hastanesi'ndeki girişimsel kardiyoloji ve nöroloji uzmanları olarak bu işlemi kliniğimizde efektif bir şekilde gerçekleştiriyoruz."
Sağlık
Yayınlanma: 18 Eylül 2025 - 12:07
Güncelleme: 18 Eylül 2025 - 12:50
Manisa Şehir Hastanesi'nde felç riskine karşı ameliyatsız çözüm
Sağlık
18 Eylül 2025 - 12:07
Güncelleme: 18 Eylül 2025 - 12:50
Manisa Şehir Hastanesi'nde, beyin damarlarındaki tıkanıklıklara karşı ameliyatsız stent yöntemi başarıyla uygulanıyor. Uzmanlar, şah damarındaki daralmaların inme riskini büyük ölçüde artırdığını vurgularken, bu modern yöntem sayesinde hastaların ertesi gün taburcu olabildiğine dikkat çekti.
EDİTÖR

Haberler İHA Haber Ajansı tarafından sağlanmaktadır.
İlginizi Çekebilir









