Marmara Üniversitesi Pendik Eğitim ve Araştırma Hastanesi Göğüs Hastalıkları Kliniği'nden Prof. Dr. Sait Karakurt, toplumda sık görülen Kronik Obstrüktif Akciğer Hastalığı (KOAH) ve zatürre hakkında önemli uyarılarda bulundu. KOAH'ın ölümcül hastalıklar listesinde üst sırada yer alan ve toplumda sık görülen bir rahatsızlık olduğunu dile getiren Karakurt, "Vakaların yaklaşık yüzde 85'i sigara kullanımına bağlı" dedi.
Marmara Üniversitesi Pendik Eğitim ve Araştırma Hastanesi Göğüs Hastalıkları Kliniği'nden Prof. Dr. Sait Karakurt, toplumda sık görülen Kronik Obstrüktif Akciğer Hastalığı (KOAH) ve zatürre hakkında önemli uyarılarda bulundu. KOAH'ın ölümcül hastalıklar listesinde üst sırada yer alan ve toplumda sık görülen bir rahatsızlık olduğunu dile getiren Karakurt, "Vakaların yaklaşık yüzde 85'i sigara kullanımına bağlı" dedi.
Marmara Üniversitesi Pendik Eğitim ve Araştırma Hastanesi uzmanlarından Prof. Dr. Sait Karakurt, dünya genelinde can kayıplarına neden olan hastalıklar arasında 4'üncü sırada yer alan KOAH ve beraberinde getirdiği zatürre riskine karşı önemli açıklamalarda bulundu. Vakaların yüzde 85'inin sigara kullanımı kaynaklı olduğunu vurgulayan Karakurt, KOAH'ın önlenebilir bir hastalık olduğunun altını çizerken; özellikle 65 yaş üstü ve risk grubundaki bireylerin zatürreye karşı aşılama ve erken teşhis konusunda hassas olmaları gerektiğini belirtti.
"KOAH önlenebilir bir rahatsızlıktır; sigaranın bırakılmasıyla birlikte tamamen ortadan kalkacaktır"
KOAH'ın en büyük sebebinin sigara kullanımı olduğunu dile getiren Prof. Dr. Sait Karakurt, hastalığın ciddiyetini ve önlenebilmesi için yapılması gerekenleri şu şekilde aktardı:
"KOAH toplumda sık görülen bir hastalıktır ve yaklaşık toplumda bunu yüzde 10 civarında görüyoruz. KOAH, zararlı maddelerin akciğeri parçalamasıyla oluşan bir rahatsızlık ve bunun da en önemli nedeni sigara. Vakaların aşağı yukarı yüzde 85'i sigara kullanımından kaynaklıdır. Bunun dışında hava kirliliği, iş yerlerinde kimyasal maddelere maruz kalma ve enfeksiyonlar da yine KOAH'ın nedenleri arasındadır. KOAH'ın önemi şu; bugün Dünya Sağlık Örgütü'nün (DSÖ) dünyada insanları öldüren hastalıklar listesinde ilk 10'da 4'üncü sırada yer alıyor. KOAH önlenebilir bir rahatsızlıktır; sigaranın bırakılmasıyla birlikte tamamen ortadan kalkacaktır."
"Akciğer dokusunun tahrip olduğu her durumda hastaların enfeksiyona karşı eğilimi artar"
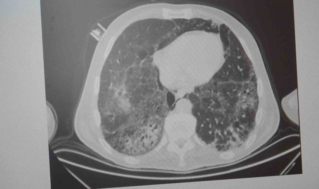
KOAH'ın akciğer dokusunu tahrip eden bir hastalık olduğunu ve bu nedenle de hastaların enfeksiyona açık hale geldiğine dikkat çeken Karakurt, "Akciğer dokusunun tahrip olduğu her durumda hastaların enfeksiyona karşı eğilimi artar ve enfeksiyona yakalandıkları zaman bunun geçmesi güç olur. KOAH'lı hastalar zatürre geçirdikleri zaman öksürük ve balgam artışı gibi bir takım belirtiler gelişir. Ayrıca ateşin 38,5 derecenin üstüne çıkması, nefes darlığının artması, titremeyle birlikte ateşin yükselmesi ve bir takım bilinç bozukluğu gibi belirtiler hastanın zatürre olduğunu gösterebilir. Bu nedenle hastaların erkenden doktora başvurmaları önemlidir" şeklinde konuştu.
"Bronşitten ölüm pek görülmez ama zatürre tehlikelidir"
Hastalarda bronşit ve zatürrenin ayırt edebilmesi için belirtilerin doğru tespit edilmesi gerektiğini vurgulayan Karakurt, "Hem zatürrede hem de bronşitte hastalarda öksürük, balgam ve ateş görülür ama burada ikisini ayırt etmek lazım. Bronşit daha çok hava yollarının yani bronşların iltihaplanmasıdır. Zatürre ise hava yollarının uçlarında bulunan ve karbondioksit değişimini sağlayan alveollerin yani hava keselerinin iltihaplanmasıdır. Bronşitten ölüm pek görülmez ama zatürre tehlikelidir; aşağı yukarı yüzde 10 gibi bir ölüm oranıyla seyreder ve bu ölüm oranı yaş arttıkça artar. Ayrım için ateşin yüksek olup olmamasına ve hastada bilinç bozukluğu, solunum sayısının artması ve morarma gibi belirtiler görüldüğü takdirde zatürre olabileceğini düşündürür. Bu gibi durumlarda en kısa zamanda bir sağlık kuruluşuna başvurmak gereklidir" ifadelerini kullandı.
"Aşı olmak ve yaşam şartlarını düzeltmek zatürreden korunmak açısından önemlidir"
Son olarak zatürrenin önlenebilir bir rahatsızlık olduğunu ifade eden Prof. Dr. Karakurt, "Zatürrenin aşısı var ve bunu mutlaka olmak gerekir. Zatürre riski genelde 5 yaş altı çocuklarda ve 65 yaş üstü bireylerde artar. Ayrıca hastalarda bilinçle alakalı sıkıntılar varsa örneğin felç gibi, ya da yutmayla alakalı sıkıntılar varsa çeşitli kas hastalıkları gibi zatürre de sıklıkla artar. Bir de daha sıkışık yaşamdan dolayı zatürre genelde kış aylarında daha çok gördüğümüz bir rahatsızlıktır. Bunun dışında okullar, kreşler, cezaevleri ve kışlalar gibi sıkışık yaşam şartlarında ve ekonomik düzeyin düşük olduğu durumlarda zatürrenin arttığını biliyoruz. Burada olabildiği kadar bu faktörleri düzeltmek ve aşı olmak zatürreden korunmak açısından önemlidir" dedi.