Kartal Koşuyolu Yüksek İhtisas Eğitim ve Araştırma Hastanesi'nde sağlık tarihine geçen bir operasyon gerçekleştirildi. Aynı gün içerisinde bir akciğer ve bir karaciğer nakli yapıldı. Bağışçıdan alınan böbrekler de başka hastanede başka hastalara umut oldu. Genç bir bağışçının organlarıyla 4 hasta yeniden hayata tutundu.
İstanbul'un önemli sağlık merkezlerinden biri olan Koşuyolu Yüksek İhtisas Eğitim ve Araştırma Hastanesi'nde bir ilk yaşandı. Genç bir bağışçının organları, aynı gün içerisinde 4 hastaya umut oldu. Koşuyolu Yüksek İhtisas Eğitim ve Araştırma Hastanesi'nde biri akciğer, diğeri karaciğer olmak üzere iki büyük nakil operasyonu eş zamanlı gerçekleştirildi. Donörün böbrekleri ise başka bir hastanede 2 ayrı hastaya nakledildi.
"Hastamızın yaşaması için tek çare nakildi"
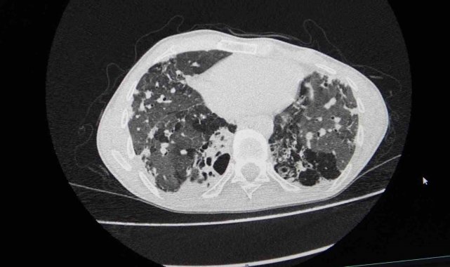
Göğüs Cerrahisi Uzmanı Prof. Dr. Ahmet Erdal Taşçı, akciğer nakli bekleyen hastanın yıllardır bronşektazi hastalığıyla mücadele ettiğini belirterek, "Hastamızın yaşaması için tek çare nakildi. Nakil başarılı geçti. Bu operasyon, bizim ekibimiz için teknik anlamda standart bir akciğer nakliydi. Ancak dikkat çeken nokta, aynı anda hastanemizde bir karaciğer nakli operasyonunun da gerçekleştirilmiş olmasıydı. Aynı bağışçının organları, iki ayrı hastaya; biri akciğer, diğeri karaciğer olarak nakledildi. Bu vesileyle bağışçımıza Allah'tan rahmet, yakınlarına da sabır diliyoruz. Böylesine acılı bir anda başkasının hayatına dokunabilmek, örnek bir davranış" dedi.
"Yeni akciğerleriyle nefes alacak"
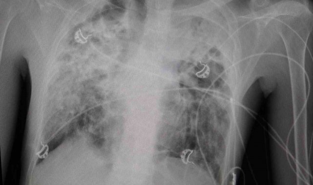
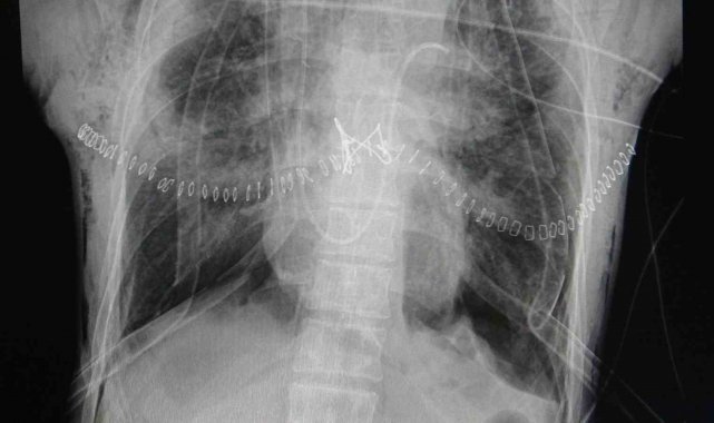
"Organ nakli, bir ülkenin sağlık sisteminin ne kadar gelişmiş olduğunu gösteren önemli bir göstergedir." diyen Taşçı, "Ameliyatı gerçekleştirilen hastamız, yoğun bakımda uyanık ve solunum desteğiyle izleniyor. Kısa sürede yeni akciğerleriyle nefes alması bekleniyor" diye konuştu. Taşçı, "Türkiye'de özellikle kadavra donör organ bağışlarının artması büyük önem taşıyor. Herkesin bir gün kendisinin veya sevdiklerinin de bu ihtiyaca düşebileceğini düşünerek, organ bağışı konusunda daha duyarlı ve bilinçli hareket etmesi gerekiyor. Ülkemizde Sağlık Bakanlığı'nın bu alandaki organizasyonu ve altyapısı gerçekten çok iyi seviyede. Bu anlamda emeği geçen herkese teşekkür ediyoruz" ifadelerini kullandı.
"Organları 4 kişiye umut oldu"
Gastroenteroloji Cerrahisi Uzmanı Prof. Dr. Mustafa Duman, "Hastanemiz, üst düzey cerrahi hizmetlerin yanı sıra organ nakli konusunda da önemli bir merkez. Hastanede kalp nakli, akciğer nakli ve karaciğer nakli işlemleri başarıyla gerçekleştiriliyor. Dün, hastanede ilk kez aynı gün içerisinde hem akciğer hem de karaciğer nakli yapılmasıyla önemli bir başarıya imza atıldı. Genç bir hastanın hayatını kaybetmesi üzücü bir olay olmasına rağmen, organlarıyla dört kişiye umut oldu. Akciğer ve karaciğer, hastanede organ bekleyen iki hastaya nakledildi. Donörün böbrekleri ise başka bir merkezde iki hastaya hayat verdi. Keşke insanlar hiç ölmeseler. Ama eğer ölüm gerçekleştiyse, ardından başka hayatlara umut olmak, insanlara hayat vermek mümkün. Bu büyük bir iyilik ve örnek davranış. Organ bağışı konusundaki hassasiyetin artmasını diliyorum." diye konuştu.
"Çocuğum yeniden hayatına kavuştu"
Nakil ameliyatı olan Arif Aydın'ın babası Zihni Aydın ise, duygusal anlar yaşadı. Aydın, "Başta organ bağışçısına ve tüm hastane ekibine sonsuz teşekkür ediyorum. Organ bağışı gerçekten çok çok önemli. İnşallah herkes bu konuda daha duyarlı olur ve organlarını bağışlar. Ben de kendi organlarımı bağışlayacağım. Şu an tarifsiz bir mutluluk yaşıyorum, çünkü çocuğum yeniden hayatına kavuşacak. Hem büyük bir sevinç hem de derin bir üzüntüyü bir arada yaşıyoruz. Organ bağışlayan herkesten Allah razı olsun." dedi.
Sağlık
Yayınlanma: 19 Haziran 2025 - 15:07
Güncelleme: 19 Haziran 2025 - 16:10
İstanbul Koşuyolu Hastanesi tarihinde bir ilk: Aynı gün akciğer ve karaciğer nakli yapıldı
Sağlık
19 Haziran 2025 - 15:07
Güncelleme: 19 Haziran 2025 - 16:10
Kartal Koşuyolu Yüksek İhtisas Eğitim ve Araştırma Hastanesi'nde sağlık tarihine geçen bir operasyon gerçekleştirildi. Aynı gün içerisinde bir akciğer ve bir karaciğer nakli yapıldı. Bağışçıdan alınan böbrekler de başka hastanede başka hastalara umut oldu. Genç bir bağışçının organlarıyla 4 hasta yeniden hayata tutundu.
EDİTÖR

Haberler İHA Haber Ajansı tarafından sağlanmaktadır.
İlginizi Çekebilir









